天狼猩红染色技术原理与实验规范
一、 染色技术原理
天狼猩红与 KWS 均属于强酸性染料,极易与胶原分子中的碱性基团相结合,结合后吸附状态稳定牢固。
借助偏振光显微镜观察时,胶原纤维本身具备正单轴双折射光的特性,与 KWS - 天狼猩红结合后,该双折射效应会显著增强,进而提升成像分辨率,实现 Ⅰ 型与 Ⅲ 型胶原纤维的精准区分。
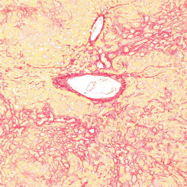
未脱钙骨组织切片经天狼猩红染色后,在普通光学显微镜下观察,胶原纤维呈现红色或鲜红色,其余组织成分呈黄色;在偏振光显微镜下观察,Ⅰ 型胶原纤维呈现强橙黄色或亮红色,Ⅲ 型胶原纤维则呈现绿色。
二、 实验流程

三、 实验结果展示

四、 送检与交付标准
固定样本:将样本置于20 倍样本体积的固定液中,固定时间需达到 24 小时及以上,之后常温密封运输。注意事项:严格把控固定时长,避免固定时间过久;全程防止样本冷冻结冰。
切片样本:石蜡切片可直接常温密封运输;冰冻切片需在 - 20℃低温条件下密封运输。
